
Tercera lista de los principales temas del día de Prensa Latina
Martes, 31 de marzo de 2026

Martes, 31 de marzo de 2026

La Paz, 31 mar (Prensa Latina) El presidente Rodrigo Paz denunció hoy la existencia de una red internacional dedicada al robo, contrabando y sabotaje de combustible, que adulteraba los hidrocarburos en Chile y luego los introducía en Bolivia.

París, 31 mar (Prensa Latina) Personalidades de los ámbitos político, parlamentario y sindical de Francia participaron hoy en la Asamblea Nacional en un debate sobre el recrudecimiento del bloqueo estadounidense contra Cuba, encuentro en el que denunciaron la agresividad de Washington.

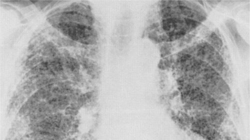
Washington, 31 mar (Prensa Latina) Los resultados de una investigación trazan hoy una vía para revertir la fibrosis pulmonar a partir de la proteína BCL-2.

La Habana, 31 mar (Prensa Latina) El Banco Central de Cuba (BCC) anunció hoy la puesta en circulación en el país de dos nuevos billetes de alta denominación, de dos mil y cinco mil pesos cubanos (CUP).

Luanda, 31 mar (Prensa Latina) Los ministros de Relaciones Exteriores de Brasil, Mauro Vieira, y de Angola, Téte António, reconocieron hoy durante una reunión de trabajo en Luanda, el potencial existente en las relaciones de cooperación de ambos países.

La Habana, 31 mar (Prensa Latina) El Ballet Nacional de Cuba (BNC) recibió una donación de zapatillas enviada por bailarines del San Francisco Ballet, gesto solidario que beneficiará principalmente a los alumnos de la Cátedra de Danza de la institución.

Montevideo, 31 mar (Prensa Latina) La entrada de la caravana multicolor a la ciudad de Tacuarembó fue hoy una fiesta popular, que disfrutó el ganador de la sexta etapa de la Vuelta Ciclista del Uruguay, Mateo Mascareñas, del club Alas Rojas de Santa Lucía.

Brasilia, 31 mar (Prensa Latina) La solidaridad internacional que recibe Irán frente a la agresión militar de Estados Unidos e Israel fue destacada hoy por su embajador en Brasil, Abdollah Nekounam Ghadiri, quien agradeció las muestras de apoyo.

Ginebra, 31 mar (Prensa Latina) El director de la Organización Mundial de la Salud (OMS), Tedros Adhanom, denunció hoy los múltiples ataques ocurridos cerca de la oficina del organismo en Teherán, capital de Irán.